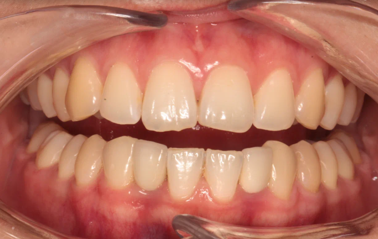
Пациентку не устраивала эстетика установленных несколько лет назад в другой клинике металлокерамических имплантных коронок. Они отличались по цвету и форме.
В процессе лечения проведена замена старых коронок с корректировкой окклюзии. Изготовлены керамические коронки на основе диоксида циркония с максимальным попаданием в цвет своих зубов.
Ортопед Сурен Маилян
В процессе лечения проведена замена старых коронок с корректировкой окклюзии. Изготовлены керамические коронки на основе диоксида циркония с максимальным попаданием в цвет своих зубов.
Ортопед Сурен Маилян