Преображение улыбки
Знакомим вас с нашим очередным кейсом.
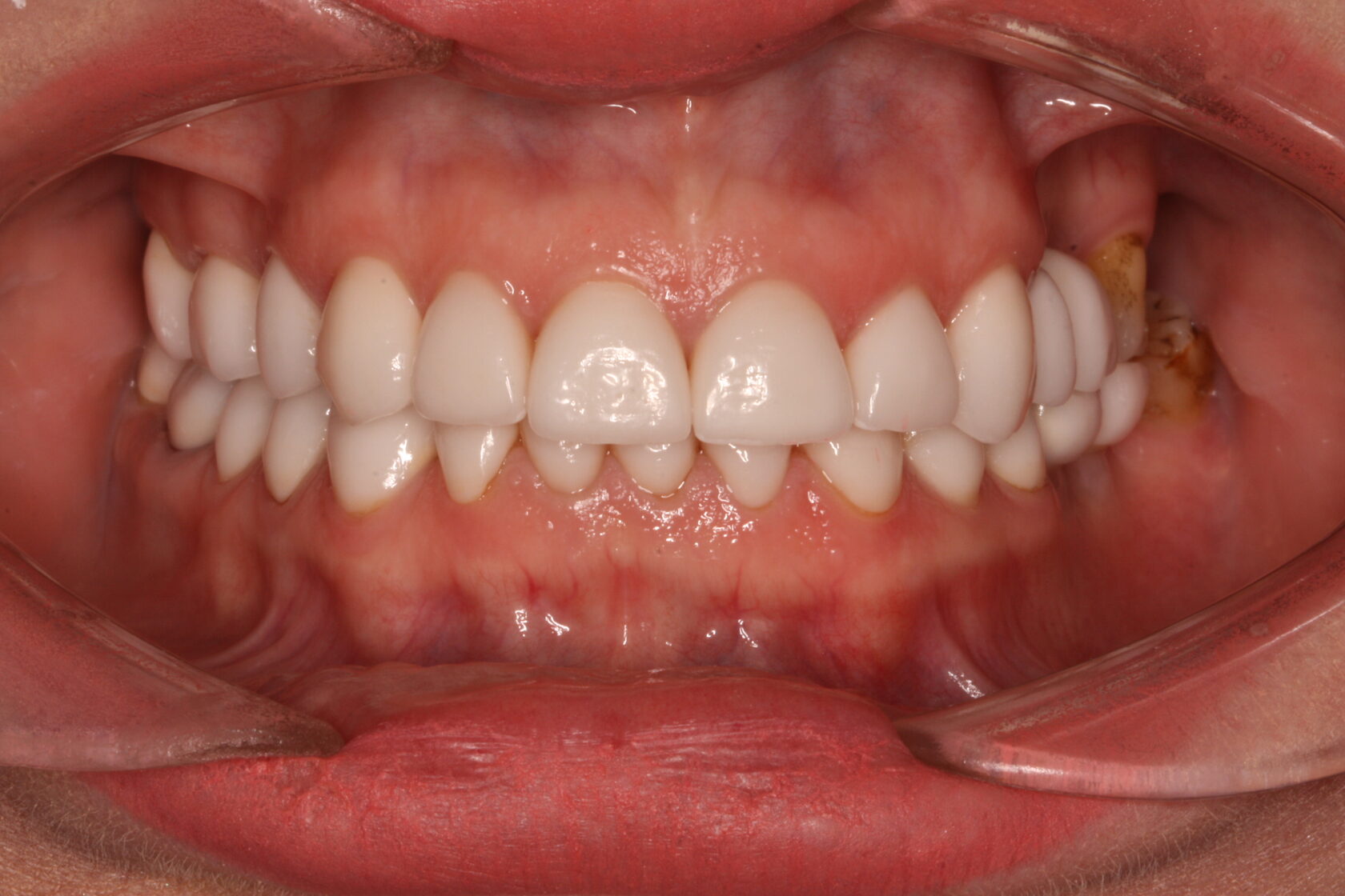
Пациентка обратилась к нам в клинику с жалобами на отсутствие некоторых зубов и эстетические недостатки улыбки.
В процессе лечения была проведена имплантация отсутствующих зубов и полное протезирование с использованием керамических виниров и коронок.
В результате восстановлена естественная улыбка и функциональная составляющая зубочелюстной системы c корректировкой идеальных пропорций.
Стоматолог-ортопед Сурен Маилян,
Хирург-имплантолог Алла Анастос
Пациентка обратилась к нам в клинику с жалобами на отсутствие некоторых зубов и эстетические недостатки улыбки.
В процессе лечения была проведена имплантация отсутствующих зубов и полное протезирование с использованием керамических виниров и коронок.
В результате восстановлена естественная улыбка и функциональная составляющая зубочелюстной системы c корректировкой идеальных пропорций.
Стоматолог-ортопед Сурен Маилян,
Хирург-имплантолог Алла Анастос